国际生殖健康/计划生育杂志 ›› 2023, Vol. 42 ›› Issue (4): 287-290.doi: 10.12280/gjszjk.20230070

• 病例报告 • 上一篇    下一篇

复发性直肠阴道隔畸胎瘤一例并文献复习

梁燕凯, 刘君, 于淼, 冀祯, 路夷平()   

  1. 100010首都医科大学附属北京中医医院
  • 收稿日期:2023-02-19 出版日期:2023-07-15 发布日期:2023-07-26
  • 通讯作者: 路夷平 E-mail:yipinglu2016@126.com
  • 基金资助:
    首都卫生发展科研专项项目(首发2020-2-2232)

Recurrent Rectovaginal Septum Teratoma: A Case Report and Literature Review

LIANG Yan-kai, LIU Jun, YU Miao, JI Zhen, LU Yi-ping()   

  1. Beijing Hospital of Traditional Chinese Medicine, Capital Medical University, Beijing 100010, China
  • Received:2023-02-19 Published:2023-07-15 Online:2023-07-26
  • Contact: LU Yi-ping E-mail:yipinglu2016@126.com

摘要:

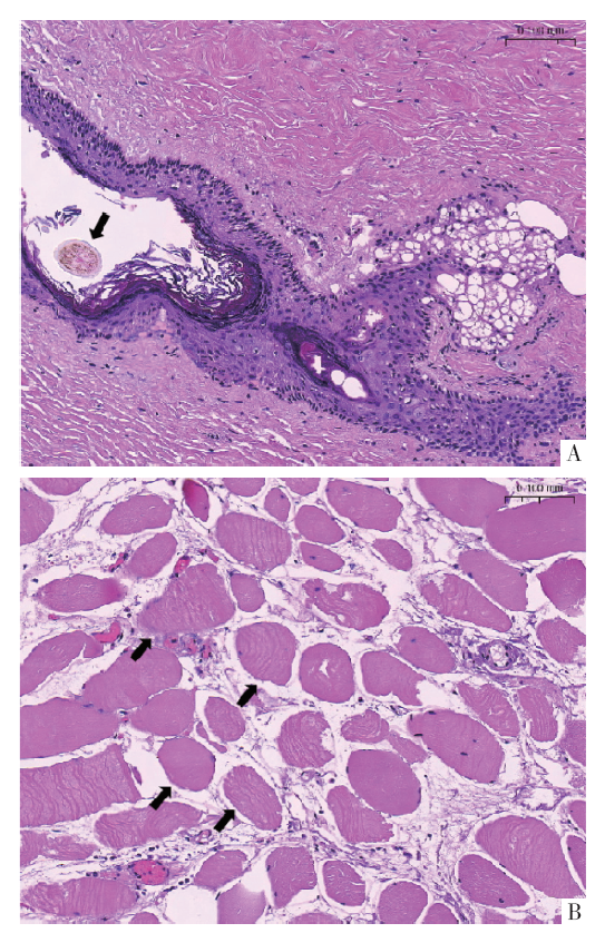
畸胎瘤是由具有多项分化潜能的生殖细胞发育而成,是较常见的生殖细胞肿瘤之一,可见于多个组织器官,以性腺最为常见,发生于性腺外尤其是直肠阴道隔者少见,查阅相关文献发现关于术后复发鲜有报道。回顾性分析我院收治的1例复发性直肠阴道隔成熟性畸胎瘤患者的临床症状、体征及相关辅助检查等临床资料,并对国内外关于直肠阴道隔畸胎瘤相关文献从疾病临床特点、诊断、治疗及预后等方面进行归纳总结,以期为性腺外畸胎瘤临床研究提供客观依据。

关键词: 畸胎瘤, 肿瘤复发,局部, 腹腔镜, 病例报告

Abstract:

Teratoma is a common germ cell tumor that develops from germ cells with multiple differentiation potentials. It can be seen in multiple tissues and organs, and the gonad teratoma is the most common. It is rare to develop outside the gonad, especially in the rectovaginal septum. There are few reports of postoperative recurrence of gonad teratoma in literatures. We reported a case of recurrent mature teratoma of rectovaginal septum treated in the surgery department of our hospital. The clinical data were retrospectively analyzed, including clinical symptoms, signs and related auxiliary examinations. In addition, the domestic and foreign literatures on rectovaginal septum teratoma were summarized from the aspects of clinical characteristics, diagnosis, treatment and prognosis. The case report and literature review provide us a practical reference for the future clinical studies on extradadal teratoma.

Key words: Teratoma, Neoplasm recurrence, local, Laparoscopes, Case reports