| [1] |
Zhang Z, Wu Y, Gao J. CT diagnosis in the thecoma-fibroma group of the ovarian stromal tumors[J]. Cell Biochem Biophys, 2015, 71(2):937-943. doi: 10.1007/s12013-014-0288-7.
|
| [2] |
Saha S, Robertson M. Meigs′ and Pseudo-Meigs′ syndrome[J]. Australas J Ultrasound Med, 2012, 15(1):29-31. doi: 10.1002/j.2205-0140.2012.tb00140.x.
|
| [3] |
Seong J, Ravshan A, Narkhodzha S, et al. Meigs′ syndrome with elevated CA-125 and HE-4: a case report and literature review[J]. Front Med(Lausanne), 2025,12:1533388. doi: 10.3389/fmed.2025.1533388.
|
| [4] |
Slaoui A, Lazhar H, Amail N, et al. Meigs syndrome: About an uncommon case report[J]. Clin J Obstet Gynecol, 2023, 6:10-13.doi: 10.29328/journal.cjog.1001120.
|
| [5] |
Höhn AK, Brambs CE, Hiller G, et al. 2020 WHO Classification of Female Genital Tumors[J]. Geburtshilfe Frauenheilkd,2021, 81(10):1145-1153. doi: 10.1055/a-1545-4279.
|
| [6] |
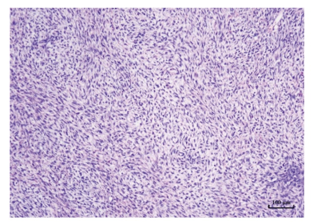
李灵婷, 马建兵. 卵巢纤维瘤的影像特征及病理类型分析[J]. 浙江临床医学, 2024, 26(12):1853-1856.
|
| [7] |
Iavarone I, Padovano M, Pasanisi F, et al. Meigs Syndrome and Elevated CA-125: Case Report and Literature Review of an Unusual Presentation Mimicking Ovarian Cancer[J]. Medicina(Kaunas), 2023, 59(9):1684. doi: 10.3390/medicina59091684.
|
| [8] |
Palmieri A, ElSahwi K, Hicks V. Meigs syndrome presenting with severely elevated CA-125 level[J]. BMJ Case Rep, 2021, 14(3):e238931. doi: 10.1136/bcr-2020-238931.
|
| [9] |
Shen Y, Liang Y, Cheng X, et al. Ovarian fibroma/fibrothecoma with elevated serum CA125 level: A cohort of 66 cases[J]. Medicine(Baltimore), 2018, 97(34):e11926. doi: 10.1097/MD.0000000000011926.
|
| [10] |
尚文雯, 姚莎莎, 徐睿. Meigs′综合征免疫特征及CD4+T细胞糖酵解相关基因表达水平分析[J]. 免疫学杂志, 2018, 34(11):972-977.
|
| [11] |
Lee M, Kim SW, Nam EJ, et al. The impact of pretreatment thrombocytosis and persistent thrombocytosis after adjuvant chemotherapy in patients with advanced epithelial ovarian cancer[J]. Gynecol Oncol, 2011, 122(2):238-241. doi: 10.1016/j.ygyno.2011.04.012.
pmid: 21531448
|
| [12] |
Trivanović D, Mojsilović S, Bogosavljević N, et al. Revealing profile of cancer-educated platelets and their factors to foster immunotherapy development[J]. Transl Oncol, 2024,40:101871. doi: 10.1016/j.tranon.2023.101871.
|
| [13] |
Danilos J, Michał Kwaś niewski W, Mazurek D, et al. Meigs′ syndrome with elevated CA-125 and HE-4: a case of luteinized fibrothecoma[J]. Prz Menopauzalny, 2015, 14(2):152-154. doi: 10.5114/pm.2015.52157.
|
| [14] |
Shang W, Wu L, Xu R, et al. Clinical laboratory features of Meigs′ syndrome: a retrospective study from 2009 to 2018[J]. Front Med, 2021, 15(1):116-124. doi: 10.1007/s11684-019-0732-6.
|
| [15] |
Kurniadi A, Anfasa MK, Agustina H, et al. A Rare Case of Ruptured Malignant Ovarian Brenner Tumor[J]. Am J Case Rep, 2023,24:e938680. doi: 10.12659/AJCR.938680.
|
| [16] |
Marco Antonio Hernández M, Zaida Fernanda Zarazúa S, Juan Eduardo Galván C, et al. Meigs Syndrome: A Comprehensive Review of Clinical Presentation, Diagnosis, and Management[J]. IJMSCRS, 2023, 3(10):2432-2436. doi: https://doi.org/10.47191/ijmscrs/v3-i10-59.
|
| [17] |
中国优生科学协会肿瘤生殖学分会, 中国医师协会微无创医学专业委员会妇科肿瘤学组, 中国医院协会妇产医院分会妇科肿瘤专业学组, 等. 卵巢性索-间质肿瘤诊治的中国专家共识(2022年版)[J]. 癌症进展, 2022, 20(21):2161-2172. doi: 10.11877/j.issn.1672-1535.2022.20.21.01.
|
| [18] |
Navarro-Esteva J, Laseca-Modrago M, Arencibia-Sánchez O. Two Patients With Meigs′ Syndrome and Elevated Serum CA-125: A Case Report[J]. Cureus, 2020, 12(6):e8927. doi: 10.7759/cureus.8927.
|
| [19] |
Tan N, Jin KY, Yang XR, et al. A case of death of patient with ovarian fibroma combined with Meigs Syndrome and literature review[J]. Diagn Pathol, 2022, 17(1):83. doi: 10.1186/s13000-022-01258-9.
pmid: 36253781
|