国际生殖健康/计划生育杂志 ›› 2024, Vol. 43 ›› Issue (5): 406-409.doi: 10.12280/gjszjk.20240105

• 病例报告 • 上一篇    下一篇

妊娠中期单孔腹腔镜剔除多发子宫肌瘤术后足月妊娠一例

吴颖颖, 杜欣()   

  1. 430065 武汉科技大学医学院(吴颖颖);湖北省妇幼保健院妇科(杜欣)
  • 收稿日期:2024-03-04 出版日期:2024-09-15 发布日期:2024-09-19
  • 通讯作者: 杜欣 E-mail:2873819462@qq.com

A Case of Full-Term Pregnancy after Single-Port Laparoscopic Debulking of Multiple Uterine Fibroids in Mid-Pregnancy

WU Ying-ying, DU Xin()   

  1. Medical College, Wuhan University of Science and Technology, Wuhan 430065, China (WU Ying-ying); Department of Gynecology, Hubei Maternal and Child Health Hospital, Wuhan 430070, China (DU Xin)
  • Received:2024-03-04 Published:2024-09-15 Online:2024-09-19
  • Contact: DU Xin E-mail:2873819462@qq.com

摘要:

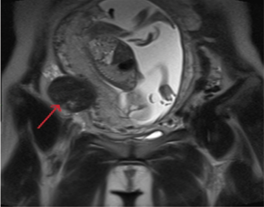
子宫肌瘤在妊娠期间出现蒂扭转或红色变性可引起腹痛并诱发流产,药物保守治疗被认为是金标准,若腹痛不能缓解,必要时于妊娠期行手术治疗。手术可根据子宫肌瘤类型、大小、位置、孕周及医生经验选择开腹或腹腔镜剔除肌瘤,但是单孔腹腔镜剔除妊娠中期子宫肌瘤少有报道。报道1例妊娠中期多发子宫肌瘤变性导致先兆流产的病例,患者经磁共振成像评估为Ⅵ型子宫肌瘤,保守治疗失败后行单孔腹腔镜子宫肌瘤剔除术。术后继续妊娠,并成功足月分娩。报道此案例,为单孔腹腔镜在妊娠期子宫肌瘤剔除中的应用提供一定参考。

关键词: 平滑肌瘤, 子宫肿瘤, 妊娠中期, 腹腔镜检查, 子宫肌瘤切除术

Abstract:

The pedicle torsion or red degeneration of uterine fibroids during pregnancy can cause abdominal pain and induce miscarriage. The conservative treatment with drugs is considered the gold standard. However, the surgical treatment may be performed during pregnancy if necessary, if the abdominal pain cannot be relieved. Surgery can be performed by laparotomy or laparoscopy to remove uterine fibroids, based on the type, size and location of uterine fibroids, the gestational age and the doctor′s experience. However, the surgery by single-port laparoscopy to remove uterine fibroids during the second trimester of pregnancy is rarely reported. This case was a threatened abortion caused by degeneration of multiple uterine fibroids in the second trimester. It was diagnosed as type Ⅵ uterine fibroids by magnetic resonance imaging. After the conservative treatment failed, a single-port laparoscopic myomectomy was performed. After operation, the pregnancy was going on, and successfully carried to term birth. This case provides a practical reference of the laparoscopic application in uterine myomectomy during pregnancy.

Key words: Leiomyoma, Uterine neoplasms, Pregnancy trimester, second, Laparoscopy, Uterine myomectomy