Journal of International Reproductive Health/Family Planning ›› 2026, Vol. 45 ›› Issue (1): 28-31.doi: 10.12280/gjszjk.20250325

• Case Report • Previous Articles     Next Articles

A Case of Cystic Adenomyosis

HU Xiao-hong, LING Fei-fei, BAI Yao-jun, LI Hong-li, LIU Chang()   

  1. The First School of Clinical Medicine of Lanzhou University, Lanzhou 730000, China (HU Xiao-hong, LING Fei-fei, BAI Yao-jun); Department of Obstetrics and Gynecology, The First Hospital of Lanzhou University, Gansu Provincial Clinical Medical Research Center for Gynecological Oncology, Lanzhou 730000, China (LI Hong-li, LIU Chang)
  • Received:2025-06-23 Published:2026-01-15 Online:2026-02-02
  • Contact: LIU Chang E-mail:lch@lzu.edu.cn

Abstract:

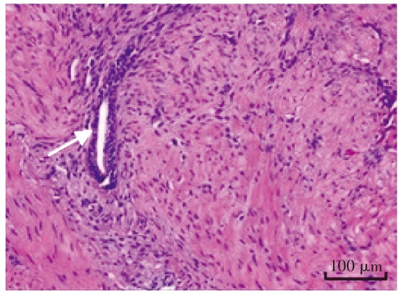
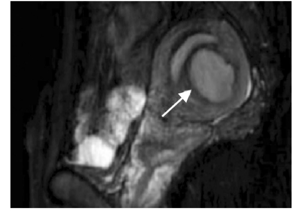
Cystic adenomyosis is a rare type of adenomyosis. Its clinical manifestations are characterized by progressive dysmenorrhea and menstrual abnormalities, accompanied by chronic pelvic pain, dyspareunia and decreased fertility. A case of cystic adenomyosis was reported. The patient was admitted for intermittent lower abdominal pain for more than 3 months. The pelvic MRI combined with carbohydrate antigen 125 (CA125) test suggested the diagnosis of uterine myometrium endometriosis cyst and underwent hysteroscopic resection of endometriosis lesions. Chocolate-like effusion was seen during the operation. With these findings and postoperative pathological results, the patient was diagnosed with cystic adenomyosis. The patient received four cycles of gonadotropin-releasing hormone agonist postoperatively. After 5 months of follow-up, the clinical symptoms were completely relieved and there was no recurrence. The clinical manifestations of cystic adenomyosis have significant heterogeneity. Ultrasound, MRI and CA125 are important auxiliary methods for the diagnosis of this disease. Surgical resection of the lesion is the main means of treatment. Postoperative adjuvant hormone therapy can consolidate the surgical effect, reduce the risk of recurrence and improve the prognosis of fertility.

Key words: Adenomyosis, CA-125 antigen, Hysteroscopy, Gonadotropin-releasing hormone, Case reports