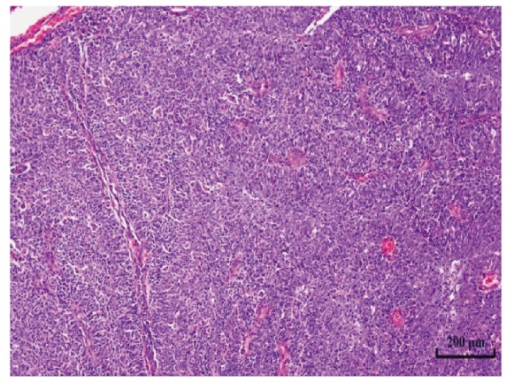
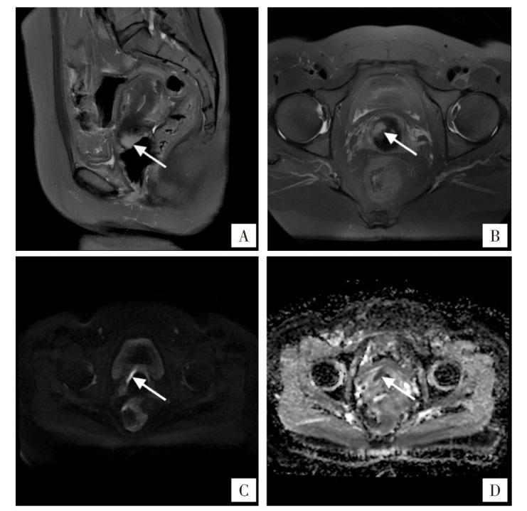
| [1] |
中国抗癌协会肿瘤标志专业委员会, 中国抗癌协会整合肿瘤学分会, 卢红阳, 等. 淋巴上皮癌诊断与治疗中国专家共识(2025版)[J]. 中国癌症防治杂志, 2025, 17(1):1-10. doi: 10.3969/j.issn.1674-5671.2025.01.01.
|
| [2] |
Hamazaki M, Fujita H, Arata T, et al. "Medullary carcinoma with lymphoid infiltration" of the uterine cervix--pathological picture of a case of cervix cancer with a favorable prognosis[J]. Gan No Rinsho, 1968, 14(9):787-792.
pmid: 5750378
|
| [3] |
Scott K, Trainor J, McVeigh G, et al. Human Papillomavirus (HPV)-associated Lymphoepithelioma-like Carcinoma of the Vagina and Anal Canal: A Rare Variant of Squamous Cell Carcinoma[J]. Int J Gynecol Pathol, 2019, 38(2):183-188. doi: 10.1097/PGP.0000000000000483.
pmid: 29257037
|
| [4] |
Yordanov A, Karamanliev M, Karcheva M, et al. Single-Center Study of Lymphoepithelioma-Like Carcinoma of Uterine Cervix over a 10-Year Period[J]. Medicina (Kaunas), 2019, 55(12):780. doi: 10.3390/medicina55120780.
|
| [5] |
苏玥辉, 王聪, 李盼盼, 等. 宫颈原发性淋巴上皮瘤样癌一例及文献复习[J]. 中国妇产科临床杂志, 2021, 22(1):98-99. doi: 10.13390/j.issn.1672-1861.2021.01.040.
|
| [6] |
郭传家, 王睿聪, 冯璐, 等. 8例宫颈淋巴上皮瘤样癌临床分析[J]. 现代妇产科进展, 2022, 31(9):688-690. doi: 10.13283/j.cnki.xdfckjz.2022.09.007.
|
| [7] |
Yun HS, Lee SK, Yoon G, et al. Lymphoepithelioma-like carcinoma of the uterine cervix[J]. Obstet Gynecol Sci, 2017, 60(1):118-123. doi: 10.5468/ogs.2017.60.1.118.
pmid: 28217683
|
| [8] |
Akizawa Y, Nakabayashi A, Okada K, et al. Lymphoepithelioma-like carcinoma of the uterine cervix: A case report with cytological findings[J]. Mol Clin Oncol, 2025, 23(5):97. doi: 10.3892/mco.2025.2892.
pmid: 40901566
|
| [9] |
Kim SH, Yoon HJ, Lee NK, et al. A fertility-sparing surgery in lymphoepithelioma-like carcinomas of the uterine cervix: A case report[J]. Medicine(Baltimore), 2022, 101(45):e31579. doi: 10.1097/MD.0000000000031579.
|
| [10] |
Ikeda A, Abiko K, Emoto I, et al. Lymphoepithelioma-like carcinoma of uterine cervix: Preoperative diagnosis and course in three cases[J]. J Obstet Gynaecol Res, 2021, 47(11):4093-4100. doi: 10.1111/jog.14969.
|
| [11] |
张碧静, 吴建锋. 17例子宫颈原发性淋巴上皮瘤样癌的临床病理特征[J]. 临床与病理杂志, 2024, 44(7):964-968. doi: 10.11817/j.issn.2095-6959.2024.240210.
|
| [12] |
Miyama Y, Kato T, Sato M, et al. Cervical lymphoepithelioma-like carcinoma with deficient mismatch repair and loss of SMARCA4/BRG1: a case report and five related cases[J]. Diagn Pathol, 2024, 19(1):6. doi: 10.1186/s13000-023-01429-2.
pmid: 38178127
|
| [13] |
Petrică LA, Deacu M, Cozaru GC, et al. Clinically Advanced Warty Invasive Squamous Cell Carcinoma of the Cervix with p16 Overexpression-Case Study and Literature Review[J]. Reports(MDPI), 2025, 8(4):243. doi: 10.3390/reports8040243.
|
| [14] |
Huang FL, Luo M, He ZM, et al. Diagnosis and treatment of pulmonary lymphoepithelioma-like carcinoma: A case report[J]. World J Clin Oncol, 2025, 16(4):104413. doi: 10.5306/wjco.v16.i4.104413.
|
| [15] |
Yamada R, Kawakami F, Maeda N, et al. Immune cell densities, HLA status, and PD-L1 expression in stage I neuroendocrine neoplasm of the uterine cervix[J]. Pathol Res Pract, 2025, 273:156146. doi: 10.1016/j.prp.2025.156146.
|
| [16] |
梁静, 张铭, 吴兰, 等. 子宫颈淋巴上皮瘤样癌6例临床分析[J]. 现代肿瘤医学, 2025, 33(10):1764-1770. doi: 10.3969/j.issn.1672-4992.2025.10.017.
|
| [17] |
张方圆, 陈玉莹, 崔满华. 宫颈淋巴上皮瘤样癌1例及相关文献复习[J]. 中国计划生育和妇产科, 2021, 13(6):92-94. doi: 10.3969/j.issn.1674-4020.2021.06.21.
|
| [18] |
Pinto A, Huang M, Nadji M. Lymphoepithelioma-Like Carcinoma of the Uterine Cervix: A Pathologic Study of Eight Cases With Emphasis on the Association With Human Papillomavirus[J]. Am J Clin Pathol, 2019, 151(2):231-239. doi: 10.1093/ajcp/aqy130.
pmid: 30321260
|
| [19] |
Lin X, Deng H, Fang N, et al. Sintilimab plus chemotherapy for first-line treatment of advanced pulmonary lymphoepithelioma-like carcinoma: Phase 2 trial[J]. Cell Rep Med, 2025, 6(10):102398. doi: 10.1016/j.xcrm.2025.102398.
|