国际生殖健康/计划生育杂志 ›› 2026, Vol. 45 ›› Issue (2): 130-132.doi: 10.12280/gjszjk.20250586

• 病例报告 • 上一篇    下一篇

带器妊娠合并宫内节育器子宫穿孔一例

张金秀, 袁皓月, 张文霞, 郑铎()   

  1. 747100 甘肃省甘南藏族自治州,夏河县人民医院妇产科(张金秀,袁皓月); 兰州大学第一医院超声医学科(张文霞),妇产科(郑铎),甘肃省妇科肿瘤临床研究中心(郑铎)
  • 收稿日期:2025-11-27 出版日期:2026-03-15 发布日期:2026-04-07
  • 通讯作者: 郑铎 E-mail:zhengduo1992@163.com

Pregnancy with Intrauterine Device Complicated by Uterine Perforation: A Case Report

ZHANG Jin-xiu, YUAN Hao-yue, ZHANG Wen-xia, ZHENG Duo()   

  1. Department of Obstetrics and Gynecology, Xiahe County People's Hospital, Gannan Tibetan Autonomous Prefecture 747100, Gansu Province, China (ZHANG Jin-xiu, YUAN Hao-yue); Department of Ultrasound Medicine (ZHANG Wen-xia), Department of Obstetrics and Gynecology (ZHENG Duo), Gansu Provincial Clinical Research Center for Gynecological Tumors (ZHENG Duo), The First Hospital of Lanzhou University, Lanzhou 730030, China
  • Received:2025-11-27 Published:2026-03-15 Online:2026-04-07
  • Contact: ZHENG Duo E-mail:zhengduo1992@163.com

摘要:

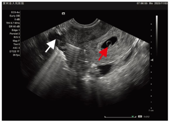
报告1例28岁女性,患者孕3产2,2018年和2022年分别足月自然分娩。放置节育器1年,因停经50 d,检查发现宫内节育器(intrauterine device,IUD)移位嵌顿7 d就诊,术前结合血人绒毛膜促性腺激素(human chorionic gonadotropin,hCG)和经阴道超声检查确诊为带器妊娠合并IUD子宫穿孔,在宫腹腔镜联合下完整取出IUD并行双侧输卵管结扎术及宫腔镜下负压吸引人工流产术,术程顺利,术后2 d出院。术后随访2周,hCG下降至正常范围。提示带器妊娠合并IUD子宫穿孔需综合考虑首次置入IUD、IUD置入位置不当、近期妊娠、金属IUD等因素进行准确诊断,采取合适的处理措施对患者预后至关重要。

关键词: 妊娠, 宫内避孕器, 子宫穿孔, 诊断, 治疗, 预后

Abstract:

We reported a case of the pregnancy with intrauterine devices (IUD) and uterine perforation. A 28-year-old female had a history of two full-term natural deliveries in 2018 and 2022, respectively and an IUD for one year. Due to 50 days of amenorrhea and 7 days of the displaced and incarcerated IUD, she came to our hospital for treatment. Preoperative examination, combined with serum human chorionic gonadotropin (hCG) and transvaginal ultrasound, confirmed the diagnosis of the pregnancy with IUD and uterine perforation. The IUD was completely removed, and bilateral tubal ligation was performed, under the combined hysteroscopy and laparoscopy while the negative pressure aspiration induced abortion was smoothly performed under hysteroscopy. The patient was discharged 2 days after the operation. After two weeks of postoperative follow-up, hCG was decreased to the normal range. It is suggested that the diagnosis of the pregnancy with IUD complicated by uterine perforation need a comprehensive consideration of multiple factors such as the first implantation of the IUD, improper placement of the IUD, recent pregnancy and metal IUD. Taking appropriate treatment is crucial for the prognosis of the patient.

Key words: Pregnancy, Intrauterine devices, Uterine perforation, Diagnosis, Therapy, Prognosis